Wielu Pacjentów przychodzi do gabinetu Mercedens od lat. To pozwala mi spojrzeć na ich leczenie z dłuższej perspektywy. Obserwuję zmieniające się warunki w jamie ustnej, efekty - sytematycznej lub nie - higieny, a także jej zasadniczy wpływ na kondycję przyzębia. Od wielu lat weryfikuję również, jak ogromne znaczenie dla zdrowych zębów mają choroby układowe Pacjentów, a także jak ważny w tych wypadkach jest wybór sposobu leczenia stomatologicznego. Te wieloletnie obserwacje dotyczą również samej stomatologii - jak bardzo na przestrzeni lat się zmieniła. Jakie dostępne metody leczenia, przede wszystkim pod względem technologii, mieliśmy kiedyś i jakie mamy dziś.
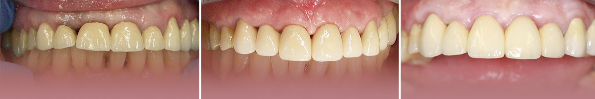
Jak ważny jest stały nadzór stomatologiczny zwłaszcza u osób mających problemy periodontologiczne pokazuje przykład naszej Pacjentki. Mamy szczęście, że możemy pokazać Państwu obserwację prac Pacjentki na przestrzeni przeszło 20 lat.
Trzeba tu podkreślić, że zarówno zęby jak i wszystkie rekonstrukcje braków zębowych są poddawane działaniu sił i kwasowego środowiska jamy ustnej i wymagają one na przestrzeni czasu wymiany, tak by zarówno ich funkcja jak i estetyka były na najwyższym poziomie.
Pacjentka zgłosiła się do mnie we wczesnych latach 90. Ze względu na chorobę przyzębia oraz równocześnie zdiagnozowaną chorobę układową, zaistniała konieczność poprawy estetyki zębów ustawionych w protruzji (zęby wychylone do przodu). Jedyną dostępną wtedy metodą leczenia było leczenie protetyczne, polegające na umiejętnym oszlifowaniu zębów Pacjentki, ustawiającym w bardziej estetycznym położeniu zęby. Obecnie mamy cały wachlarz metod ortodontycznych, które wtedy w zakresie pomocy osobom dorosłym - raczkowały. Zęby oszlifowano i wykonano korony protetyczne zblokowane. Estetyka uśmiechu poprawiła się zasadniczo.
 
    
Pierwsze zdjęcie pokazuje pracę wykonaną we wczesnych latach 90. Inne materiały, inne możliwości diagnostyczne i lecznicze, inna technologia pracy oraz widoczne zmiany w przyzębiu sprawiły, że po około 15 latach stara, nieestetyczna już praca protetyczna wymagała wymiany. Dodatkowo postanowiono po konsultacji z Pacjentką wykonać chirurgiczne wydłużenie koron klinicznych. Po tym zabiegu Pacjentka przez ok. pół roku użytkowała 2 zestawy prac tymczasowych protetycznych sukcesywnie dostosowywanych do zmieniających się miejscowych warunkow przyzębia. Po ok. 6 miesięcach można było wykonać nowe uzupełnienie protetyczne. Zdecydowano o wykonaniu mostów porcelanowych na podbudowie ze złota - jako materiału najbardziej przyjaznego dla tkanek periodontium.
Nowa praca protetyczna była użytkowana przez kilkanaście lat. Podczas jednej z systematycznych kontroli, na które zgłosiła się Pacjentka, zauważono pogłębiającą się kieszonkę przyzębną w okolicy zęba 13. Zakwalifikowano obszar zębów 13-12 do zabiegu chirurgicznego płatowego z zastosowaniem fibryny bogatopłytkowej A-PRF, którą to pozyskuje się z odwirowanej krwi Pacjenta przy pomocy specjalnej wirówki laboratoryjnej i odpowiednich parametrów pracy. Po tym zabiegu Pacjentka użytkowała tymczasowe prace protetyczne przez około 2 miesiące. Nie było konieczności, jak poprzednim razem, dłuższego stosowania tego typu prac, gdyż nie wykonywano tu resekcyjnych procedur stomatologicznych polegających na zmianie poziomu kości. Techniki, które w tym wypadku zastosowano to były techniki regeneracyjne, wspierające leczenie periodontologiczne i mające poprawić sytuację przyzębia. Następnie po raz kolejny zdecydowano o wykonaniu pracy na złocie, która tak doskonale w tym przypadku sprawdziła się przy długoczasowej obserwacji Pacjentki.
Bardzo się cieszę, bo ostatnia kontrola nowej pracy w lutym br. pokazała wysoką skuteczność leczenia periodontologicznego. Przyzębie Pacjentki jest obecnie w bardzo dobrej kondycji, a nowa praca protetyczna wyraźnie poprawiła estetykę uśmiechu.
Może Cię też zainteresować artykuł dr Katarzyny Pakosz dotyczący kompleksowego leczenia stomatologicznego.
Przeczytaj więcej o fibrynie bogatopłytkowej w leczeniu stomatologicznym.